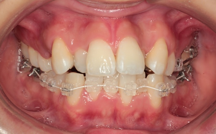
大人でも矯正治療は可能です
歯ならびが気になっていたけれど、
“忙しくて・・・”
”装置に抵抗があって・・・“
といった理由で矯正治療に踏み切れなかった方もいらっしゃるのではないでしょうか?
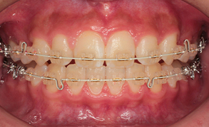
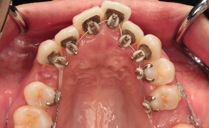
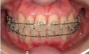
大人の方でも矯正治療は可能です。当院では20代30代の方はもとより、60代でも矯正治療を受けられる患者様もいらっしゃいます。
子どもに比べれば多少歯が動くのが遅くはなりますが、大抵の場合は治療可能です。
大人の矯正治療で問題となりやすいのは、大きな虫歯の治療や歯周病によって歯や歯槽骨の状態が悪くなっている場合です。
歯の移動が制限されるために治療しにくくなることもあります。
特に年齢が高くなるほど、歯の状態に何らかの問題がある可能性が高くなりますので、状況に応じて無理のない治療計画を立てる必要があります。
治療に入る前に、歯のお悩みについてしっかりカウンセリングいたします。
